전문가 미백
전문가 미백

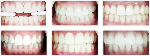
연예인처럼 밝고 깨끗한 치아가 부럽다면


당신의 치아도 환화게 밝아질 수 있다면...


첫 인상을 결정짓는 가장 중요한 환화게 웃는 미소와 치아!

치아미백 솔루션으로 밝게 웃는 미소를 가질 수 있습니다.


※ 오랜기간 변색된 치아는 양치질로 해결되지 않아요!

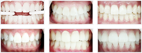
연예인처럼 밝고 깨끗한 치아가 부럽다면


당신의 치아도 환화게 밝아질 수 있다면...


첫 인상을 결정짓는 가장 중요한 환화게 웃는 미소와 치아!

치아미백 솔루션으로 밝게 웃는 미소를 가질 수 있습니다.


※ 오랜기간 변색된 치아는 양치질로 해결되지 않아요!

치아를 아름답고 밝게 만들어 드리는 치아미백!


치아미백 솔루션


선/후천적인 영향으로 누렇게 변색된 치아의 표면을 본연의

치아색상으로 회복시키거나 더 밝게 만들어 드립니다.


치아미백은 안전하고 전문적인 미백치료를 받아야 합니다.

자가 미백 트레이



치아를 아름답고 밝게 만들어 드리는 치아미백!


치아미백 솔루션


선/후천적인 영향으로 누렇게 변색된 치아의 표면을

본연의 치아색상으로 회복시키거나 더 밝게 만들어 드립니다.


치아미백은 안전하고 전문적인 미백치료를 받아야 합니다.

자가 미백 트레이

ADVANCED POWER SYSTEM

전문가미백 노하우!


치아의 색깔 때문에 콤플렉스를 가진 분이나, 

대인 관계에 자신이 없어 타인으로 하여금 좋은 인상을 

남기고 싶으신 분으로 더 밝고 매력적인 미소를 원하시는 

분에게 추천해 드립니다.


결혼, 면접, 취업 등 중요한 대인 관계에 있어 이미지 개선을 

생각하는 분에게 추천해드립니다.

치아미백 시술과정


치아가 획기적으로 미백이 될 수 있는 가장 빠른 

방법을 찾는다면...


전문가미백은 오스템 치아미백을 사용하는 치과는 

여러 미백 제품 중 안전하고 시린증상이 없는 

미백 제품을 사용하고 있습니다.


1회 미백 시간은 40분~1시간 간격으로 1회 시술로 

큰 효과를 볼 수 있습니다.


1주일 간격으로 3~4회 시술 받으며 미백 효과를 

볼 수 있습니다.

1. 구강검진 및 동의서 작성 


치아의 질감과 색상 등 변색의 

원인 파악

(테트라싸이크린 변색, 불소증)


환자의 상태와 요구에 맞는 

프로그램을 결정하고 환자가 

이해 할 때까지 충분히 설명

2. 치아검진 및 치석제거


치아 표면의 이물질을 제거하고

최대한 미백 효과를 보기 위해서

스케일링 실시

3. 전문가미백 프로그램 


선택한 치아미백 프로그램으로

 미백 프로그램 진행

4. 치아미백 후 주의사항


치아미백 시행 후 치아미백 

주의사항 전달

ADVANCED POWER SYSTEM

전문가미백 노하우!


치아의 색깔 때문에 콤플렉스를 가진 분이나, 대인 관계에 자신이 

없어 타인으로 하여금 좋은 인상을 남기고 싶으신 분으로 더 밝고 

매력적인 미소를 원하시는 분에게 추천해 드립니다.


결혼, 면접, 취업 등 중요한 대인 관계에 있어 이미지 개선을 

생각하는 분에게 추천해드립니다.

치아미백 시술과정


치아가 획기적으로 미백이 될 수 있는 가장 빠른 방법을 찾는다면...

전문가미백은 오스템 치아미백을 사용하는 치과는 여러 미백 제품 중 

안전하고 시린증상이 없는 미백 제품을 사용하고 있습니다.


1회 미백 시간은 40분~1시간 간격으로 1회 시술로 큰 효과를 볼 수 있습니다.

1주일 간격으로 3~4회 시술 받으며 미백 효과를 볼 수 있습니다.


Step.01 구강검진 및 동의서 작성
Step.01 구강검진 및 동의서 작성
Step.02 치아검진 및 치석제거
Step.02 치아검진 및 치석제거
Step.03 전문가미백 프로그램
Step.03 전문가미백 프로그램
Step.04 치아미백 후 주의사항
Step.04 치아미백 후 주의사항

치아의 질감과 색상 등 변색의 원인 파악

(테트라싸이크린 변색, 불소증)


환자의 상태와 요구에 맞는 프로그램을 결정하고 환자가 이해할 때까지 충분히 설명

치아 표면의 이물질을 제거하고 최대한 

미백 효과를 보기 위해서 스케일링 실시

선택한 치아미백 프로그램으로 

미백 프로그램 진행

치아미백 시행 후 치아미백 주의사항 전달


대표 │황병기     상호명 │닥터황치과의원

사업자등록번호 │188-93-01859

이메일 │pelihwang@hanmail.net

주소 │경기도 화성시 삼성1로 150 석진파아란오피스텔 201호

TEL │031-8015-1022     FAX │031-8015-3312


이용약관     개인정보처리방침

Copyright © 2024 닥터황치과 All Rights Reserved.


줄 바꿈(BR 태그)은 Shift + Enter 로 사용할 수 있습니다.

대표 │황병기     상호명 │닥터황치과의원     이메일 │pelihwang@hanmail.net     사업자등록번호 │188-93-01859

주소 │경기도 화성시 삼성1로 150 석진파아란오피스텔 201호     TEL │031-8015-1022     FAX │031-8015-3312

Copyright © 2024 닥터황치과 All Rights Reserved.