네비게이션 임플란트
네비게이션 임플란트


Dr.HWANG DENTAL CLINIC

디지털 치과, 닥터황의 수준 높은 의료장비를 통해 안전하고 정확한 임플란트 시술이 진행됩니다.


임플란트 안정도 측정 - 오스템 멘 OSSTELL ISQ



디지털 네비게이션 임플란트


임플란트 핵심은 정확한 식립 위치와 각도

그것을 가능하게 하는 닥터황치과의 네비게이션 임플란트



네비게이션 임플란트


어렵고 까다로운 임플란트 수술을 오차없이 정확하게 시술이 진행됩니다.


네비게이션 임플란트는 미리 준비한 가이드를 통해서 치조골, 

신경조직 및 혈관 위치 그리고 주변 치아 상태 등


다양성을 고려하여 임플란트를 식립했을 때 가장 좋은 위치에 

임플란트를 심어 완성도 높은 결과를 얻을 수 있습니다.


3SHAPE IMPLANT STUDIO SIMULATION

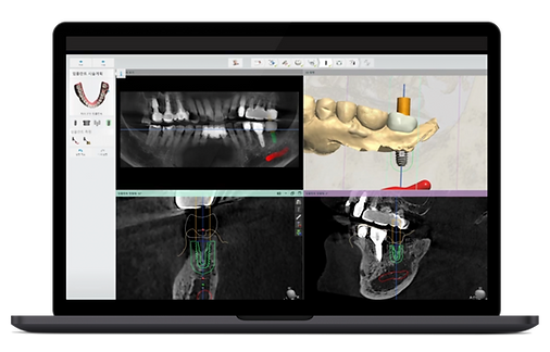
디지털 네비게이션 임플란트


임플란트 핵심은 정확한 식립 위치와 각도

그것을 가능하게 하는 닥터황치과의 네비게이션 임플란트

Dr.HWANG DENTAL CLINIC


디지털 치과, 닥터황의 수준 높은 의료장비를 

통해 안전하고 정확한 임플란트 시술이 진행됩니다.


네비게이션 임플란트


어렵고 까다로운 임플란트 수술을 오차없이 정확하게 

시술이 진행됩니다.


네비게이션 임플란트는 미리 준비한 가이드를 통해서 

치조골, 신경조직 및 혈관 위치 그리고 주변 치아 상태 등


다양성을 고려하여 임플란트를 식립했을 때 가장 좋은 

위치에 임플란트를 심어 완성도 높은 결과를 

얻을 수 있습니다.


보다 안전하고 정확하게 진행되는

디지털 임플란트로 체계적으로 진행


임플란트 잇몸에 심어지는 각도, 깊이, 식립 위치가 중요합니다.

환자의 구강 상태와 치조골 등 최적의 식립 위치를 찾아 

식립되어지는 디지털 임플란트 디지털 임플란트는 

수술 전 시뮬레이션으로 시술 위험을 줄이고 

안전하고 정확하게 진행됩니다.

보다 안전하고 정확하게 진행되는

디지털 임플란트로 체계적으로 진행


잇몸에 심어지는 각도, 깊이, 식립 위치가 중요합니다.


환자의 구강 상태와 치조골 등 최적의 식립 위치를 찾아 

식립되어지는 디지털 임플란트 디지털 임플란트는 

수술 전 시뮬레이션으로 시술 위험을 줄이고 

안전하고 정확하게 진행됩니다.

전체 임플란트


여러 개의 임플란트를 동시에 식립하는 무치악 

임플란트 치료는 전문의 경험이 중요

최소 절개 임플란트


디지털 CT/PANO 촬영을 통하여 환자의 구강 및 치아 

상태를 입체적으로 재현하여 최적의 위치, 방향, 깊이 등을 

고려한 임플란트를 식립하여 출혈과 통증을 줄여드립니다.

임플란트 재수술


기존 임플란트가 파절되거나 빠진 경우 다시 임플란트 

시술을 통해서 치아를 복원하는 방법으로 의료진의 

경험과 노하우가 중요합니다.

3D광학 스캐너를 통해 본뜨는 과정이 더 정교하고, 

더 편안합니다.


언제나 편안하게, 모든 시스템에서 자유롭게...

디지털 구강 스캐너는 자리 이동없이 유연하게 치아 

스캔이 가능합니다.

REMOVABLE & AUTOCLAVEABLE TIP

TO PROTECT PATIENTS FROM INFECTION




전체 임플란트


여러 개의 임플란트를 동시에 식립하는 무치악 

임플란트 치료는 전문의 경험이 중요







최소 절개 임플란트


디지털 CT/PANO 촬영을 통하여 환자의 구강 및 

치아 상태를 입체적으로 재현하여 최적의 위치, 

방향, 깊이 등을 고려한 임플란트를 식립하여 

출혈과 통증을 줄여드립니다.





임플란트 재수술


기존 임플란트가 파절되거나 빠진 경우 다시 임플란트 

시술을 통해서 치아를 복원하는 방법으로 

의료진의 경험과 노하우가 중요합니다.




닥터황치과는 가장 좋은 결과를 이끌기 위해

전문의와 디지털 의료장비를 보유하고, 최적의 상황에서

수준 높은 진료를 통해 성공적인 수술이 가능하도록 이끌어 냅니다.


NAVIGATION IMPLANT


Dr.HWANG DENTAL CLINIC



오스템 임플란트



미 FDA 최고등급 인증,

국제 표준화기구 품질 경영시스템 인증

EU 품질인증 CE 획득




국내 업계 최초,

미국 생산공정 설립


세계적인 기술력과 제품에 대한 신뢰를 

바탕으로 우수한 품질을 유지하는 것은 물론, 

뛰어난 골유착이 장점으로 오랜 임상데이터를 보유


닥터황치과는 가장 좋은 결과를 이끌기 위해

전문의와 디지털 의료장비를 보유하고, 최적의 상황에서

수준 높은 진료를 통해 성공적인 수술이 가능하도록 

이끌어 냅니다.


NAVIGATION IMPLANT


Dr.HWANG DENTAL CLINIC


대표 │황병기     상호명 │닥터황치과의원

사업자등록번호 │188-93-01859

이메일 │pelihwang@hanmail.net

주소 │경기도 화성시 삼성1로 150 석진파아란오피스텔 201호

TEL │031-8015-1022     FAX │031-8015-3312


이용약관     개인정보처리방침

Copyright © 2024 닥터황치과 All Rights Reserved.


줄 바꿈(BR 태그)은 Shift + Enter 로 사용할 수 있습니다.

대표 │황병기     상호명 │닥터황치과의원     이메일 │pelihwang@hanmail.net     사업자등록번호 │188-93-01859

주소 │경기도 화성시 삼성1로 150 석진파아란오피스텔 201호     TEL │031-8015-1022     FAX │031-8015-3312

Copyright © 2024 닥터황치과 All Rights Reserved.