디지털 임플란트
디지털 임플란트

DIGITAL IMPLANT


디지털 임플란트


치아를 대신하는 임플란트, 경험이 풍부한 전문의와 상의

풍부한 경험과 노하우의 차이가 임플란트 성공을 높여 드립니다.


닥터황치과 임플란트 특화센터




누구나 걱정하는 임플란트 치료, 닥터황치과는
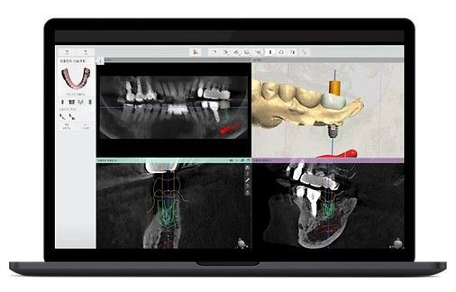
3D 디지털시물레이션으로 최적의 식립 위치를 찾아 진행됩니다.
 

수술 전 정확한 임플란트 위치를 잡아주는 디지털 시물레이션
한치의 오차없이 더욱 안전한 임플란트 수술이 가능합니다.


DIGITAL IMPLANT


디지털 임플란트


치아를 대신하는 임플란트, 경험이 풍부한 전문의와 

상의 풍부한 경험과 노하우의 차이가 임플란트 

성공을 높여 드립니다.


닥터황치과 임플란트 특화센터

누구나 걱정하는 임플란트 치료, 닥터황치과는 3D 디지털

시물레이션으로 최적의 식립 위치를 찾아 진행됩니다.
 

수술전 정확한 임플란트 위치를 잡아주는 디지털 시물레이션

한치의 오차없이 더욱 안전한 임플란트 수술이 가능합니다.

보다 안전하고 정확하게 진행되는

디지털 임플란트로 체계적으로 진행

 

잇몸에 심어지는 각도, 깊이, 식립 위치가 중요합니다.


환자의 구강 상태와 치조골 등 최적의 식립 위치를 찾아 

식립되어지는 디지털 임플란트 디지털 임플란트는 

수술 전 시뮬레이션으로 시술 위험을 줄이고 

안전하고 정확하게 진행됩니다.

디지털 치과 임플란트 과정


보다 안전하고 꼼꼼한 디지털 임플란트 수술경험이

풍부한 전문의가 안전한 임플란트 수술을 약속합니다.


Step. 01

진단 및 치료 계획 수립


정밀한 진단과 치료 계획의 수립은 성공적인 

임플란트 수술의 시작입니다.


치과는 저방사선 CT/PANO, 카보키레이저,

오스텔멘토, 무통마취기 등 디지털 의료장비를

통해 구강상태와 치조골의 정밀 진단, 전신 상태까지

세밀하게 검사하여 안전한 치료계획을 수립합니다.


Step. 02

1차 임플란트 수술 진행


임플란트 매식체를 턱뼈에 심는 과정으로 

잇몸을 열고 정확한 위치에 정확한 각도로 

심은 후 다시 잇몸을 덮습니다.


일반적으로 아래턱의 경우 약 3개월, 

윗턱의 경우 4개월 정도 치유 기간이 소요됩니다.


Step. 03

2차 수술 진행


잇몸 밖으로 기둥을 연결하여 앞으로 보철물이 

장착될 수 있게 해주는 과정입니다.


임플란트의 윗부분 잇몸만을 절개합니다.


1차 수술과 준비 과정은 같지만 시간은 짧습니다.

만들어진 구조물 위에 인공치아를 만들어 끼우면 

임플란트 보철 완성됩니다.


Step. 04

보철물 장착


본을 떠서 최종 보철물을 장착하는 임플란트 치료의 

마지막 과정으로 임플란트 시술은 끝나게 됩니다.


보다 안전하고 정확하게 진행되는

디지털 임플란트로 체계적으로 진행

 

임플란트 잇몸에 심어지는 각도, 깊이, 식립 위치가 중요합니다.
환자의 구강 상태와 치조골 등

최적의 식립 위치를 찾아 식립되어지는 디지털 임플란트

디지털 임플란트는 수술 전 시뮬레이션으로 시술 위험을 줄이고

안전하고 정확하게 진행됩니다.

디지털 치과 임플란트 과정


보다 안전하고 꼼꼼한 디지털 임플란트 수술경험이

풍부한 전문의가 안전한 임플란트 수술을 약속합니다.



Step. 01

진단 및 치료 계획 수립


정밀한 진단과 치료 계획의 수립은 

성공적인 임플란트 수술의 시작입니다.


치과는 저방사선 CT/PANO, 카보키레이저, 

오스텔멘토, 무통마취기 등 디지털 의료장비를 

통해 구강상태와 치조골의 정밀 진단, 전신 상태까지 

세밀하게 검사하여 안전한 치료계획을 수립합니다.





Step. 02

1차 임플란트 수술 진행


임플란트 매식체를 턱뼈에 심는 과정으로 

잇몸을 열고 정확한 위치에 정확한 각도로 

심은 후 다시 잇몸을 덮습니다.


일반적으로 아래턱의 경우 약 3개월, 

윗턱의 경우 4개월 정도 치유 기간이 소요됩니다.






Step. 03

2차 수술 진행


잇몸 밖으로 기둥을 연결하여 앞으로 

보철물이 장착될 수 있게 해주는 과정입니다.


임플란트의 윗부분 잇몸만을 절개합니다.


1차 수술과 준비 과정은 같지만 시간은 짧습니다.

만들어진 구조물 위에 인공치아를 만들어 끼우면 

임플란트 보철 완성됩니다.




Step. 04

보철물 장착


본을 떠서 최종 보철물을 장착하는 

임플란트 치료의 마지막 과정으로 

임플란트 시술은 끝나게 됩니다.








대표 │황병기     상호명 │닥터황치과의원

사업자등록번호 │188-93-01859

이메일 │pelihwang@hanmail.net

주소 │경기도 화성시 삼성1로 150 석진파아란오피스텔 201호

TEL │031-8015-1022     FAX │031-8015-3312


이용약관     개인정보처리방침

Copyright © 2024 닥터황치과 All Rights Reserved.


줄 바꿈(BR 태그)은 Shift + Enter 로 사용할 수 있습니다.

대표 │황병기     상호명 │닥터황치과의원     이메일 │pelihwang@hanmail.net     사업자등록번호 │188-93-01859

주소 │경기도 화성시 삼성1로 150 석진파아란오피스텔 201호     TEL │031-8015-1022     FAX │031-8015-3312

Copyright © 2024 닥터황치과 All Rights Reserved.