심미/보철치료
심미/보철치료

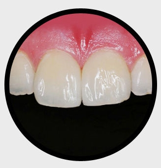
심미치료(치아성형)


자연치아와 같은 자연스러움은 물론, 시간이 지날수록 

더욱 편안한 착용감으로 완성도 높은 결과를 자신합니다.


앞니 컴플렉스 닥터황치과와 상담 받으세요!

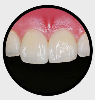
심미치료(치아성형)


자연치아와 같은 자연스러움은 물론, 시간이 지날수록 

더욱 편안한 착용감으로 완성도 높은 결과를 자신합니다.


앞니 컴플렉스 닥터황치과와 상담 받으세요!


치아 디자인 구현



치아 디자인 구체화



치아 디자인 구상


구체화된 보철물을 바탕으로 색상, 모양, 위치를 고려하여 

환자에게만 맞는 유일한 디자인 구현


환자의 전체적인 구강상태, 잇몸과 치아와의 관계 환자의 

이미지를 종합하여 보철물의 기본 디자인을 구체화합니다.


환자와의 충분한 상담을 통해 환자가 원하는 바를 파악하고

보철물을 기본 틀을 구상합니다.

치아 디자인 구현

치아 디자인 구체화

치아 디자인 구상

구체화된 보철물을 바탕으로 색상, 모양, 위치를 

고려하여 환자에게만 맞는 유일한 디자인 구현


환자의 전체적인 구강상태, 잇몸과 치아와의 관계 

환자의 이미지를 종합하여 보철물의 기본 디자인을 

구체화합니다.


환자와의 충분한 상담을 통해 환자가 원하는 바를 

파악하고 보철물을 기본 틀을 구상합니다.

앞니 컴플렉스를 해결하고 아름답고 건강한 치아,

자연스러운 치아를위한 심미치료를 진행하는 닥터황치과

DIGITAL DESIGN SMILE - AESTHETIC TREATMENT


치아를 깎거나 손상시키지 않고 3D IMAGES을 이용한 

심미적인 결과를 설계 치아의 삭제 정도나 보철물의 재료를

결정할 수 있고, 내 얼굴에 맞는 치아성형이 가능해집니다.

심미적인 목적으로 

치료할 수 있는 치과치료


치아 색상의 보철물로, 작은 부위를 채워줄 수 있는 재료

하루면 모든 치료 과정이 끝이나 간편한 장점


깨진치아, 왜소치, 벌어진치아

(모두 증상이 경미한 경우에 가능)


치아모양과 색상이 얇은 판을 치아 위에 덧붙여주는 

치료로 치아 컴플렉스의 뛰어난 개선의 기대


깨진치아, 왜소치, 벌어진치아

(비교적 범위가 넓은 경우)


자연치아와 색상 및 투명도가 매우 흡사한 재료로 

치아 전체를 씌워주는 치료


치아 컴플렉스 문제가 아주 심한 경우에도 만족스러운

결과를 얻을 수 있습니다.


왜소치, 깊게 부러져 통증이 있는 치아 신경치료 후, 

돌출/회전된 치아 보철물 색상이 자연 치아와 상이

자연치아보다 더 자연스러운 치아 디자인


풍부한 경험 다양한 케이스를 보유한 의료진이 수준 높은 

진료 서비스를 통해 완성도 높은 심미치료(치아성형)가 

진행되는 닥터황치과

앞니 컴플렉스를 해결하고 아름답고 건강한 치아,

자연스러운 치아를위한 심미치료를 진행하는 닥터황치과


DIGITAL DESIGN SMILE - AESTHETIC TREATMENT


치아를 깎거나 손상시키지 않고 3D IMAGES을 이용한 심미적인 결과를 설계 치아의 

삭제 정도나 보철물의 재료를 결정할 수 있고, 내 얼굴에 맞는 치아성형이 가능해집니다.

심미적인 목적으로 치료할 수 있는 치과치료


레진



치아 색상의 보철물로, 작은 부위를 채워줄 수 있는 재료

하루면 모든 치료 과정이 끝이나 간편한 장점


깨진치아, 왜소치, 벌어진치아

(모두 증상이 경미한 경우에 가능)






라미네이트



치아모양과 색상이 얇은 판을 치아 위에 덧붙여주는 

치료로 치아 컴플렉스의 뛰어난 개선의 기대


깨진치아, 왜소치, 벌어진치아

(비교적 범위가 넓은 경우)






올세라믹/지르코니아



자연치아와 색상 및 투명도가 매우 흡사한 재료로 

치아 전체를 씌워주는 치료


치아 컴플렉스 문제가 아주 심한 경우에도 만족스러운

결과를 얻을 수 있습니다.


왜소치, 깊게 부러져 통증이 있는 치아 신경치료 후, 

돌출/회전된 치아 보철물 색상이 자연 치아와 상이



대표 │황병기     상호명 │닥터황치과의원

사업자등록번호 │188-93-01859

이메일 │pelihwang@hanmail.net

주소 │경기도 화성시 삼성1로 150 석진파아란오피스텔 201호

TEL │031-8015-1022     FAX │031-8015-3312


이용약관     개인정보처리방침

Copyright © 2024 닥터황치과 All Rights Reserved.


줄 바꿈(BR 태그)은 Shift + Enter 로 사용할 수 있습니다.

대표 │황병기     상호명 │닥터황치과의원     이메일 │pelihwang@hanmail.net     사업자등록번호 │188-93-01859

주소 │경기도 화성시 삼성1로 150 석진파아란오피스텔 201호     TEL │031-8015-1022     FAX │031-8015-3312

Copyright © 2024 닥터황치과 All Rights Reserved.