심미 임플란트
심미 임플란트

RENOVABLE & AUTOCLAVEABLE TIP TO PROTECT PATIENTS FROM INFECTION


기능적인 치료에 심미적인 부분을 더해 드리는 임플란트 심미치료


전치부 심미보철 임플란트


임플란트 수술은 부위에 따라 치료방법이 달라질 수 있습니다.

자연치아처럼 깨끗하고 아름다운 치아를 임플란트에도 적용할 수 있습니다.


dr.hwang dental clinic

심미 임플란트 수술


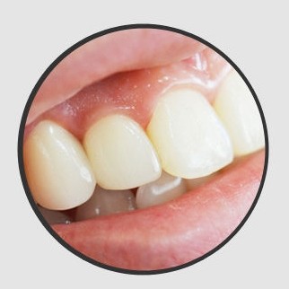
웃을 때 보이는 앞니 치아는 가지런하고 심미적으로 아름다워야 합니다.


앞니(전치부) 임플란트


앞니 치아는 아름다워야 합니다. 말하거나 웃을때,

입을 벌릴 때 가장 잘 드러나는 치아입니다.


따라서 앞니 임플란트 치료가 진행되는 경우 인위적이지 않고

자연 치아와 차이가 느껴지지 않도록 환자의 치아 크기,형태, 색상,

치열 등을 정확하게 반영하는 동시에 음식물을 씹을 때 불편함 없이

편안하게 사용할 수 있도록 해야 됩니다.



어금니(구치부) 임플란트


제일 중요한 어금니 치아는 씹는 힘의 중심으로, 어금니에 

임플란트를 한다는 것 음식물을 씹는 데 가장 중요한 역할을 합니다.


때문에 어금니 기능을 상실하신 분들은 일상 생활에서 큰 불편함을 겪게 되므로, 

어금니에 임플란트를 심는다는 것은 그 저 단순히 수술을 하는 것이 아니라

'씹는 기능'을 되돌려 준다는 생각으로 임해야 합니다.



Dr. HWANG DENTAL CLINIC, IMPLANT

맞춤형 어버트먼트 + 자르코니아 크라운 사용

자르코니아 크라운을 기본으로 사용

포세린 크라운은 내부는 금속, 겉은 도자기 재질로 되어있어
투명도가 낮아 탁한 색상과 경계에 금속이 비칠 수 있음
포세린 크라운은 내부는 금속, 겉은 도자기 재질로 되어있어
투명도가 낮아 탁한 색상과 경계에 금속이 비칠 수 있음



VS

자르코리나 크라운은 겉과 속이 세라믹 소재로 투명도가 높아
자연치아와 비슷하며 우수한 강도와 심미성을 가지고 있음
자르코리나 크라운은 겉과 속이 세라믹 소재로 투명도가 높아
자연치아와 비슷하며 우수한 강도와 심미성을 가지고 있음

전 과정 디지털 시스템으로 정확하게

사람중심 임플란트!

REOVABLE & AUTOCLAVEABLE TIP TO PROTECT

PATIENTS FROM INFECTION

기능적인 치료에 심미적인 부분을 더해 드리는 

임플란트 심미치료


전치부 심미보철 임플란트


임플란트 수술은 부위에 따라 치료방법이 

달라질 수 있습니다.


자연치아처럼 깨끗하고 아름다운 치아를 

임플란트에도 적용할 수 있습니다.


dr.hwang dental clinic

심미 임플란트 수술


웃을 때 보이는 앞니 치아는 가지런하고 

심미적으로 아름다워야 합니다.

앞니(전치부) 임플란트


앞니 치아는 아름다워야 합니다. 말하거나 웃을때,

입을 벌릴 때 가장 잘 드러나는 치아입니다.


따라서 앞니 임플란트 치료가 진행되는 경우 

인위적이지 않고 자연 치아와 차이가 느껴지지 

않도록 환자의 치아 크기,형태, 색상,


치열 등을 정확하게 반영하는 동시에 음식물을 

씹을 때 불편함 없이 편안하게 사용할 수 

있도록 해야 됩니다.

어금니(구치부) 임플란트


제일 중요한 어금니 치아는 씹는 힘의 중심으로, 

어금니에 임플란트를 한다는 것 음식물을 씹는 데 

가장 중요한 역할을 합니다.


때문에 어금니 기능을 상실하신 분들은 일상 

생활에서 큰 불편함을 겪게 되므로, 


어금니에 임플란트를 심는다는 것은 그 저 단순히 

수술을 하는 것이 아니라 '씹는 기능'을 되돌려 

준다는 생각으로 임해야 합니다.

Dr. HWANG DENTAL CLINIC, IMPLANT

맞춤형 어버트먼트 + 자르코니아 크라운 사용

자르코니아 크라운을 기본으로 사용

포세린 크라운은 내부는 금속, 겉은 도자기 재질로 되어있어
투명도가 낮아 탁한 색상과 경계에 금속이 비칠 수 있음

자르코리나 크라운은 겉과 속이 세라믹 소재로 투명도가 

높아 자연치아와 비슷하며 우수한 강도와 

심미성을 가지고 있음

전 과정 디지털 시스템으로 정확하게

사람중심 임플란트!

대표원장이 직접 임플란트 상담

정밀한 검사와 정확한 판단

자연스러운 치아 완성

사후관리 시스템


대표 │황병기     상호명 │닥터황치과의원

사업자등록번호 │188-93-01859

이메일 │pelihwang@hanmail.net

주소 │경기도 화성시 삼성1로 150 석진파아란오피스텔 201호

TEL │031-8015-1022     FAX │031-8015-3312


이용약관     개인정보처리방침

Copyright © 2024 닥터황치과 All Rights Reserved.


줄 바꿈(BR 태그)은 Shift + Enter 로 사용할 수 있습니다.

대표 │황병기     상호명 │닥터황치과의원     이메일 │pelihwang@hanmail.net     사업자등록번호 │188-93-01859

주소 │경기도 화성시 삼성1로 150 석진파아란오피스텔 201호     TEL │031-8015-1022     FAX │031-8015-3312

Copyright © 2024 닥터황치과 All Rights Reserved.